Author: dweetleapp
-
U2V launches €60M fund for deeptech university spin-offs in Europe
U2V (University2Ventures) has completed the first closing of its €60 million Fund I, with support from corporates including anchor LP Jungheinrich via Uplift Ventures, alongside family offices, serial entrepreneurs and industry executives. The fund aims to support teams turning Europe’s research into commercially viable deeptech companies, helping to bridge academia and industry while contributing to read more
Written by

-
Wakuli raises €5M from ECBF and Rabobank
Amsterdam-based coffee company Wakuli has closed a Series A round of €5 million in debt and equity from ECBF and Rabobank. Including earlier participation from the ABN AMRO Sustainable Impact Fund and Icecat Capital, the company has now raised a total of €9.25 million. Founded in 2019 by Yorick Bruins and Lukas Grosfeld, Wakuli focuses read more
Written by

-
FION Energy secures €1.4M for AI-optimised battery systems
Berlin-based cleantech startup FION Energy has closed a €1.4 million pre-seed funding round, led by HTGF and Norrsken Evolve, with participation from experienced business angels. Most industrial companies want to reduce their energy costs but face significant technical complexity and high operational effort. FION addresses this by offering an end-to-end solution, from site analysis and read more
Written by

-
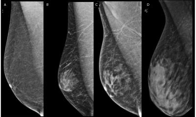
Breast imaging for male and transgender patients: bridging the knowledge gap
Transgender patients face multiple barriers Mammography in cranio-caudal (A) and medio-lateral oblique (B) views in a 52-year-old transgender woman after 5 years of hormone therapy. Anna D’Angelo from the Catholic University of the Sacred Heart in Rome addressed transgender breast imaging, emphasising the importance of correct terminology. Transgender, she clarified, is an umbrella term for read more
Written by

-
Jennifer Lewis ScD ’91: “Can we make tissues that are made from you, for you?”
“Can we make tissues that are made from you, for you?” asked Jennifer Lewis ScD ’91 at the 2025 Mildred S. Dresselhaus Lecture, organized by MIT.nano, on Nov. 3. “The grand challenge goal is to create these tissues for therapeutic use and, ultimately, at the whole organ scale.” Lewis, the Hansjörg Wyss Professor of Biologically read more
Written by

-
Fal raises $140M Series D to power the next era of real-time generative media
Real-time generative media platform fal today announced a $140 million Series D financing, bringing its funding to over $400 million. Türkiye-founded, fal is an infrastructure layer for real-time AI-generated content, enabling developers and enterprises to run any model—open-source, private, or commercial—through a single, ultra-low-latency serverless API. The platform automatically scales globally and eliminates DevOps overhead, read more
Written by

-
KBC unveils €100M Start it Fund, targeting Belgium’s most promising startups from idea to IPO
KBC Group is investing €100 million through Start it @KBC to strengthen the Belgian startup ecosystem. This investment also launches a new fund (the Start it Fund) aimed at early-stage financing for top-tier startups from the accelerator program, addressing a long-standing demand from founders. Thanks to this fund, these startups can count on capital and read more
Written by

-
Assaia raises $26.6M Series B to boost AI for airport operations
Assaia, the Zurich-based aviation technology company, has raised $26.6 million in an oversubscribed Series B funding round led by Armira Growth, alongside existing investors. As air traffic volumes surpass pre-pandemic levels and airports face staffing constraints and tighter operational margins, the industry is increasingly prioritising intelligent automation to strengthen resilience and improve efficiency. Assaia’s AI read more
Written by

-
UK and Germany among countries with highest ChatGPT enterprise customers, says OpenAI
The UK and Germany are among the countries with the highest number of ChatGPT enterprisecustomersoutside the US, while the Netherlands and France are showing strong growth in business customer numbers, according to a new report fromChatGPTdeveloper OpenAI. OpenAI has published selective usage figures of its AI tools, which are now used by more than one read more
Written by

-
Equixly raises €10M to tackle the API security crisis with agentic AI hackers
Italy-based Equixly has raised €10 million in Series A funding to scale its proprietary agentic AI hacking platform. The round was led by 33N Ventures and joined by Alpha Intelligence Capital, with additional participation from existing investors JME Ventures, 360 Capital and Fondazione Cassa di Risparmio di Firenze. Founded in 2022 by brothers and serial read more
Written by

-
betacluster Ventures launches new early-stage fund to support AI-driven innovation
betacluster Ventures has launched betacluster Poland.One, a new early-stage fund under the PFR Starter program. With a target capitalisation of €19 million (PLN 81.25 million), the fund will invest in technology startups primarily from Poland that are developing solutions for the Smart Data Economy, where intelligent data systems, AI and automation transform how industries operate, read more
Written by

-
Algori raises €3.6M to scale its AI shopper insights platform globally
Madrid-based Algori, a purchase and behavioural data platform for the FMCG industry, has raised an additional €3.6 million in growth capital, bringing the company’s total funding to €7.5 million. The round brought in new investors, including Red Bull Ventures, Tech Transfer Agrifood (Clave Capital), Co-Invest Capital, AttaPoll, and Firstpick, alongside continued support from existing backers read more
Written by

-
Evertrust secures €10M to accelerate expansion in Europe’s digital trust market
French cybersecurity software vendor Evertrust has closed a €10 million Series A round from the fund Elephant, which will support the company’s growth strategy, including team expansion, product development, and international scaling. Founded in 2017 by Kamel Ferchouche (CEO), Jean-Julien Alvado (CTO) and Étienne Laviolette (COO), Evertrust has evolved from a digital trust consulting firm read more
Written by







